公開:2021/6/3 更新:2023/4/25
こんにちは。
横浜市青葉区柿の木台の脳神経外科・脳神経内科、横濱もえぎ野クリニックです。
本日は脳ドックはどこで受けても同じなのか?という疑問にお答えします。
ずばり結論から申しますと「違います」。
では何が違うのか?それを詳しく解説していきます。
1.値段が違う
脳ドックの価格は自由診療(自費)であり、その値段は自由に決められることになっています。
そのため1万円代前半の激安脳ドックもあれば、10万円ぐらいする高級脳ドックまであります。
通常の脳ドックですと、以前は4万円や5万円したものですが
最近は低価格化が進み、多くの脳ドックが2~4万円の値幅におさまっています。
2.検査内容が違う
脳ドックで最低限やらなければならない検査はMRIはCTでの脳の撮影です。
それ以外に付随するものについては各クリニックの方針やプランによって大きく異なります。
例えば認知症検査が含まれていたり、血液検査が含まれていたり、あるいは首部分も撮影内容に入っていたりと様々です。
高額になればなるほど、検査内容がより細かくなったり、独自のプランを持っていることが多い傾向にあります。
3.医師の説明のありなし
検査後に医師が当日結果を説明するもの、別日に医師が説明するもの、医師の説明なしで報告書のみという形に分かれます。
安い脳ドックでは医師の説明がなく撮って帰るだけ、結果は後日報告書が郵送されてくるという場合が多いです。
これにはメリットもデメリットもあります。
検査のみをしたい方にとって早く帰れて安いため目的と合致していますが、
しっかり医師の結果説明を受けたい方にとっては不向きです。
4.撮影機器の性能が違う
撮影機器は自由に選べるものなので、各クリニック・病院が違なるメーカー、機種のMRI・CTを導入しています。
そして機械差による性能(出力される画像の鮮明さ)はかなり大きいです。
メーカーによっても相当異なるのですが、MRIの場合は簡単な見分け方としてテスラ(T)を参考にします。
0.3Tや0.5Tの古いMRIが現役のクリニックもありますが、最低でも1.0T、できれば1.5T以上の機器でのドックをお勧めします。
一概にテスラ数が低い機械が悪いわけではありませんが、鮮明な画像がより的確な診断に繋がることは確かです。
5.短縮撮影のありなし
MRIには短時間での撮影を可能にする機能が実装されています。
その代わり、出力される画像が荒くなるというデメリットがあります。
当然画像が荒くなればなるほど、診断にも支障をきたします。
短縮撮影のありなしは公表されないので判断が難しいです。
尚、当院では基本短縮撮影を行わない方針としております。
出来るだけ綺麗な画像の出力に努めているからです。
6.撮影枚数が違う
前述の内容と被る部分がありますが、時間短縮目的で総撮影枚数を減らすことがあります。
ドックの場合は丁寧に多めの枚数を撮ることが望ましいですが、現実的には特定の撮影工程を省くケースはままあります。
尚、当院の一回あたりの撮影枚数平均は他院平均の1.5~2倍です。
これはしっかり検査を行いたいという当院のポリシーを反映しています。
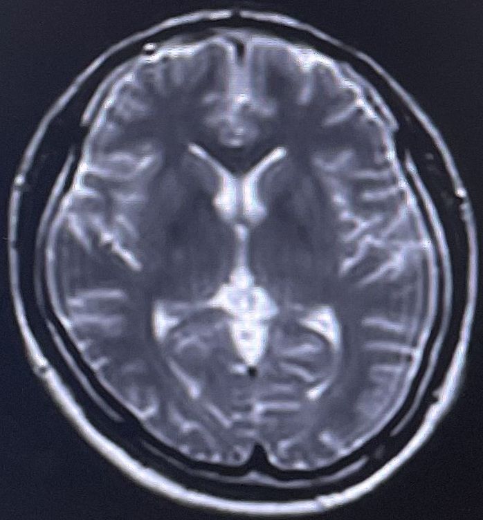
参考までに比較画像を載せておきます。
A.

B.

AとBは同一人物の同一部位を撮影したものです。
Bが当院の普段の撮影画質となります。

AとBの同一箇所を拡大したものです。
まとめ
脳ドックは受ければ良いというものではありません。
しっかりと検査してもらい、しっかりと診断してもらうことで、初めて検査の意味があります。
今日、脳ドックは多くのクリニック、病院で行われていますが、その全てが同じ条件ではありません。
検査を受ける目的(検査だけすればいいのか、医師の説明をしっかり受けたいのか)、
費用と内容のどちらを優先するのか、近いところから探すのか、しっかりした病院を探すのか。
自身が脳ドックを行うにあたっての目的と優先度を考えた上で選ぶことをお勧めします。
このページをご覧いただいた方が、良い病院との出会いがあることを心より願っております。
追記
脳ドックは当院でも行っております。
1.5TのMRIを導入し、閉所恐怖症の方にも対応しております。
下記にわかりやすい解説ページを設けておりますので、ぜひご覧くださいませ。
記事監修
院長 泉山 仁
横濱もえぎ野クリニック 脳神経外科・脳神経内科 院長
日本脳神経外科学会専門医、日本脳卒中学会専門医
35年以上の経験を持つベテラン医師。モットーは真心のある診療。患者様にしっかりと説明を行い、よく理解してもらう事を大切にしている。気さくで親しみやすい診療が評判を呼んでいるが、実力の伴う医師である事も重要だと語る。現在もその経歴に奢ることなく勉学に励み続けている。