患者様の状況
- 50代女性の方
- テニスをした日から後頭部痛
- いつもと違う痛み
- 痛みで目が覚める
- 痛み止め(イヴ、ナロンエース)が効かない
MRI検査を実施した結果、椎骨動脈解離が認められました。但し、今回は解離と断定しにくいケースでした。
その理由は下記の通りです。
- 解離の特徴である「狭まり、拡がり」が把握しにくいレベルだった
- 解離の裏付けとなる出血が認められなかった
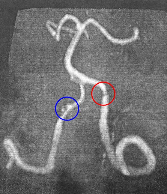
実際のMRI画像

青丸部分が疑わく思うれがちですが、解離は赤丸部分です。ちなみに、これを別の先生が診た場合、「うーん…」と唸って解離には触れない事が多いでしょう。「わからない」、あるいは「断定しかねる」となるのが普通です。
当院がこれを解離だと言うのは、多くの解離を診てきた経験があるからです。まず、出血がない解離があるという事を知らない先生が多いです。なぜなら解離は出血を裏付けとするため、<出血が確認できない=解離ではない>と判断するからです。
しかし、実は出血がない事例にも、解離の方がいます。これはその後の経過を追うとわかります。解離であれば変化するからです。解離の修復と共に画像上の映りも変わります。
再受診時のMRI画像
こちらが前述の方の再受診時の画像です。

最初の画像と見比べてみてください。狭まりが解消しているのがわかります。即ち、<血の流れが正常化した=解離だった=解離が良くなっている>という事です。
こちらは血管の形を映した画像です。

僅かな変化ですが、初診時は狭まりと拡がりが見られる(赤丸内左側)のに対し、再診時は解消しています。ですが、この画像だけでは判断にくいです。実際には3D化していますので左右に角度を変えながら見ます。そうする事で判断しやすくなります。
解離の判断について
「解離なのか?解離ではないのか?」の判別が難しい事例は度々舞い込んできます。当院も横着はせずに、その後の変化を追います。再受診時に初めて出血が確認できる事もあるのです。そして、今回のように出血が確認できないまま完治に向かう場合もあります。
出血のない解離が起こりやすいケース
1.発症直後に受診した場合
2.解離が軽度の場合
これらは椎骨動脈解離の知識として一般認知されている情報ではありません。当院が何十例も経験する中で見つけてきたものです。通常はMRIで出血が確認できれば、先生は解離と判断します。しかし、出血がないケースを判断できるクリニックは限られるでしょう。
出血のない解離について
出血のない椎骨動脈解離が存在する!?
上記ページで詳しく解説しています。是非ご覧ください。
記事監修
院長 泉山 仁
・横濱もえぎ野クリニック 脳神経外科・脳神経内科 院長
・日本脳神経外科学会専門医
・日本脳卒中学会専門医
平成27年 市が尾カリヨン病院 病院長
平成29年 青葉さわい病院 副院長
令和元年 横濱もえぎ野クリニック 脳神経外科・脳神経内科 開業
田園都市線藤が丘駅より徒歩8分、青葉台駅より徒歩13分
診療:要予約制 診療日:月~木曜日、土曜日